81 次瀏覽
1997 年 WWDC 大會,Steve Jobs 面對一個尖銳幾近挑釁的提問,他回答道:「某些人某些論點在某些時候是正確的,而且永遠可以找到證據去支持。但是這個論點有辦法在整個大世界中符合未來的願景嗎」?
他緊接著回答道:「永遠以消費者的體驗角度回推技術的需求,而不是從科技來推估消費者需要什麼」
重點是你了解你的客戶到底想要什麼?
數位化浪潮也在近年來席捲了牙醫產業,尤其在去年還沒有這麼強烈的感覺,今年以來,這股浪潮已經淹沒到鍾醫師的喉嚨深度了。
「The digital tidal wave is coming strong and fast. It you don’t learn it now, tomorrow you will realize, that you are already drowned.」(數位海嘯來得又強又急,如果現在不學習,明天,你會發現水已經淹過頭高),這是今年 (2019/3/17)在 Alessandro Pozzi 這位全球數位化植牙大師台灣的演講場合,鍾醫師擔任開場演說所說的一段話。
數位化?還不簡單,把實體東西轉為 3D 數位化不就好了?!

牙齒模型也是由實體轉為數位化:

然後呢?
然後你問坐在診所診療台上的客戶說:「李先生,請問你要選擇數位化的植牙方式還是傳統的植牙方式」?
客戶反問了你幾個問題:
「請問醫師,哪個方式比較不痛?」
「哪個方式成功率比較高?」
「那個方式比較快?」
「那個方式價格比較低?」
(請注意,鍾醫師把價格選項放在最後面,因為只有前幾個要件都滿足後,這個選項才有意義,因為沒有人會選「又痛、會失敗、又麻煩只是超級便宜」的療程)
也就是說,不管「數位」或是「傳統」,客戶對牙醫的需求永遠是這幾個選項,這也是我們要時時思考的選項。
一、是不是比較不痛?
二、是不是成功率比較高?
三、是不是比較快速?
四、是不是可以降低價格?
也就是牙科數位化,如果無法讓「科技配合消費者的需求」,根據「價值第一定律」,是很難產生價值的。
所以鍾醫師想要討論是第三個選項:數位化可不可以讓植牙流程更快速(包含更少的手術、更少的診次),因為這很明顯是客戶所想要的。
號稱是「一日植牙」的 All-on-4,的確可以在一天之內,植牙並且安裝假牙(臨時假牙)然後立即可以使用,但是要到真正正式假牙完成,也要額外增加十到十二診次(將近半年的時間)。
另外在執行更快的術式前,我們要探討的是,這樣會損害我們的成功率嗎?或是可否在方便性和成功率取得一個平衡?
(鍾醫師這邊比較的基準點,當然不是「植牙後埋入,先不安裝任何假牙(包含活動假牙)」的方式,因為這樣的行程,讓夠實際接受的客戶實在不多)
All-on-4 全口速定植牙正好就是這樣的術式,我們已經完全了解,一日植牙的流程並不會降低成功率。
根據這篇文獻,All-on-4 全口速定植牙已經可以在三個診次內完成(包含正式假牙),這對很多忙碌的企業人士、高階主管是很重要的。
因此針對配合政府醫療旅遊的政策,三口品牙醫開發了比上述文獻速度更快的「三個診次」流程,而且這三個流程可以在七到十日內完成,這十天三診流程包含:
第一診:資料收集。
第二診:植牙手術裝戴臨時假牙。
第三診:裝戴正式假牙
事實上,以上的流程看似簡單,以數位化來說,卻暗藏了許多陷阱。
我想要舉一個案例,這個案例如果用「傳統六個月 All-on-4 流程」是很簡單的案例(需要來診十幾次,費時 6-8 個月),但是如果要使用「十日數位化 All-on-4 流程」卻變得非常困難。
(鍾醫師估計國內有這樣技術能力的牙醫團隊不超過三組):
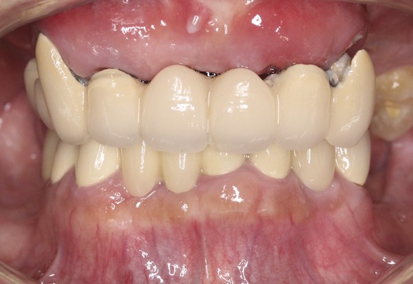
案主:某重要科技公司執行長(上顎)
特點:
- 重要科技公司執行長=不能有任何時間要求他戴活動假牙
- 每日要開幕僚會議=不能沒有牙齒
- 那組隨時脫落難以再黏回去的假牙=無法印模
- 所有的假牙是金屬瓷牙,散射=無法用電腦斷層疊合 intra-oral scan 口掃(或是 smartfusion)
- 喪失的 VD(垂直高度)=需要用實體模建立 VD (vertical dimension)
- 不足的 lip support (唇支撐)=需要實體模型驗證

好,親愛的看倌們,號稱是全口重建大師的你,要怎樣幫我們的執行長完成願望、找回彩色的人生又不被眼尖的記者發現呢?
(全篇完)
本篇文章作者:
鍾泰豐醫師,任職於新竹品御牙醫診所(三口品牙醫)

No responses yet