Biomimetics (or biomimicry) is one of the hottest topics today. You have to be impressed by this idea. But it is easier said than done. It’s always not easy for a man-made object to learn from the nature and in turn mimic the nature.
Tof was thinking, what if we can keep the “original” stuff which Mother Nature gave us? Wouldn’t that be kind of biomimetics? Enough said, tof is going to share with you 2 cases about how to practice biomimetics on yourselves. The first case scores 78 on the esthetic evaluation checklist, and zero for interdental papilla and gingival line. Are you kidding me? Sharing a case like this with me?
Fair enough, let’s start from the beginning.
This is a picture taken when the patient first visit us, as tooth #11 was hopeless and required fixing.


OK, here’s the treatment plan. #11 needed extraction and waited for 2 months for the soft tissue to heal before GBR and implant placement. In fact, the plan for this case did not involve extensive GBR as Dr. Johnny Chang did not feel the odds were good, especially for a type III ridge of such combining vertical and horizontal bone loss. All we could do was to fill it up and keep our fingers crossed. It is always necessary to prepare our patients for any possible scenarios. Therefore, #11 had to go as the plan went on.
2 months later, there came the GBR procedure( using autogenous bone from the tuberosity + non-resorable membrane) with implant placement simultaneously ( which means that the implant and GBR are in place in this picture).
After 7 months of healing:
Seeing the subject come back to me like this, you can imagine the chills rising along the spines of tof. “Oh, dear! How does this GBR come out so different from the successful cases before? It doesn’t look like fixed!”
“Does that mean this case is done for? End of the story?” Dr. Suhu says: “Dr. tof, are you trying to show everybody an classic case of esthetic failure?” (Thank you for bringing that up, really!!)
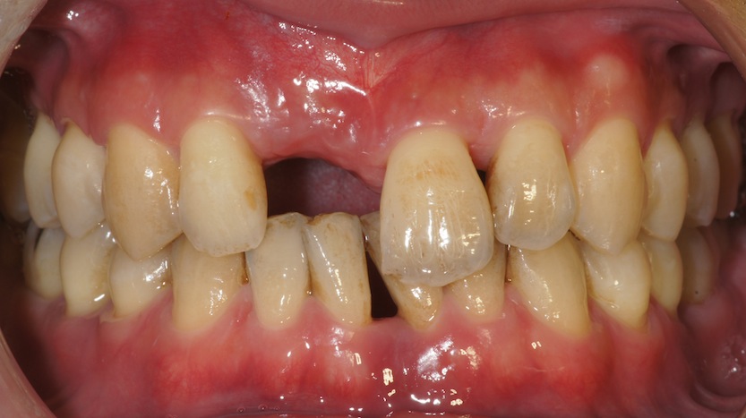
Now here came the worse. 2nd stage surgery performed that day, tof was taking an impression for a temporary crown, and this was what freaked tof out:
“Now what? Is this a test for me from Dr. Johnny Chang? It’s weird. Did I owe him money? I do remember giving him the money back last time I borrowed from him for a pack of Cracker Noodle.” Puzzled and bewildered, I started to examine the umm… you can call it a mess if you like. The vertical height was gone, the horizontal width was gone, and the implant was mis-angulated this way…
There was nothing tof could do but preparing the temporary crown and abutment:
Let’s look at the angle of this implant temporal crown, it’s totally diverged from implant long axis. Tof knows that there will be certain recession of this labial gingival, but now I could only place the temporal crown and hope for the best:
Just look at the screw hole exit at the labial side of the abutment, and you will see the implant is totally labially directed.
The crown was just installed.
4 months later with what skillful hands of tof had done (adjust the contour of the implant temporal crown) and of course a lot of crossed fingers, this was the result:
All right, this temporal crown looks not bad. But what’s next?
Here came the interesting part. It has been 14 long months since the tooth was extracted. In fact 14 months ago on the day of tooth extraction, tof noticed something. Let’s go back to that day 14 months ago. Remember this picture?
tof is not asking everybody to look at the big gap after the tooth was pulled. Just look at the surface texture of tooth #21.
If you have ever read this article of tof’s, you should know that the surface texture of a natural tooth determines the mimicking of a crown to a great extent. In the picture above, the upper left central incisor has a very complicated surface texture on it. The lines criss-cross the surface. It’s truly a nature’s wonder.
Say we are going to replicate #11 for tooth #21. It is very tough to replicate the surface texture of #21; i.e. it is not going to be easy to make the crown look like what Mother Nature provided. Only the “original” (or the “part from the original manufacturer,” i.e. the nature) has a fighting chance.
So, tof had already had something up his sleeves.
On the day #11 was removed, tof did something behind Dr. Johnny’s back: I secretly kept extracted tooth #11:
I removed the pulp tissue, cut off the root and hollowed the tooth out for the abutment later (while paying attention to keep as much circumferential root wall as possible from compromising the strength):
Here comes the good part. tof had a lab technician to customize the zirconia abutment:
Now we have an original crown (I do mean 100% “original!”):
tof worked his magic again and Voilà! This original crown is back to where it belongs:
How come the value is higher (i.e. shade is lighter)?
This is in fact because of desiccation (as the tooth was taken out of mouth for cutting and processing). We all know that both enamel and dentin have numerous tiny tubules. As long as a tooth stays in mouth, it gets hydrated, and this is probably the world’s most biocompatible crown. At this stage, color is not of a concern for tof.
As a not so successful prosthodontist, tof has to give himself a pat on his back! If you want to get a technician to do this crown, tof’s experience is that it is very, very, very hard, like impossibly hard.
Just look at the natural translucency of the incisal edge! The surface texture of the tooth, even the crack line at the neck of the tooth, how natural it is! It is really difficult to tell which the implant supported crown is. The fracture strength, hardness, physical properties and even radio-opacity of this implant crown are the same as those of a natural tooth.
At first tof was amazed what a genius I was to come up with this idea. Unfortunately, Robert Margeas in USA developed this technique in 2005-2008 and published 2 articles (year 2005, year 2008). This is a living proof that tof is not the only one who has nothing else to do but coming up with some wild, crazy ideas.
So, if you happen to have a failing tooth with an intact crown, maybe you should “consider” not to waste this “authentic” quality product and to make the best use of it. (But what tof wants to say this: if you want to use this technique, you are at your own discretion. I am not going to take any liability for it.)
OK, some may say: “Dr. tof, now you are using the one of a kind case to show off, aren’t you?” To prove that this is not the only, let’s check out another case:
There is one implant supported natural crown here. Spot it yet? (Hint: it’s not tooth #31.)
All I can say is: “Only nature can mimic nature!”
(The end)
Lab technician:Mother Nature
Unimportant work such as processing and crown placement:tof























One response
hey there and thank you for your information – I’ve definitely picked up something new from right here. I did however expertise some technical issues using this site, as I experienced to reload the web site a lot of times previous to I could get it to load properly. I had been wondering if your web hosting is OK? Not that I’m complaining, but
sluggish loading instances times will often affect your placement in
google and could damage your high quality score if ads and marketing with Adwords.
Well I am adding this RSS to my email and could look out for
a lot more of your respective interesting content.
Ensure that you update this again very soon.