
前牙美學 的評分標準
美的評估通常是很主觀的,但是對做牙齒的醫師來說,看著自己的作品,就是因為太主觀,常常會自我感覺良好,所以不知不覺就秀出一些案例,自己覺得不錯,但是旁觀者往往皺起眉頭想:奇怪,這種 case 有什麼好現的?
要如何避免犯這種錯誤呢?這時一些客觀的評估標準就顯得有幫助了。尤其 tof 年紀大了,自我感覺良好的毛病特別嚴重,更需要一個客觀的 checklist 讓我可以知道自己大概做的是幾分。於是 tof 嘔心瀝血,搜尋各大美容牙科書籍,訂定了一個 esthetic evaluation checklist 來使用。也藉此分享給大家…….
在看 esthetic checklist 前,tof 不得不提診所一位美容牙科的後起之秀:蘇湖醫師。
蘇湖醫師剛進入美容牙科界短短幾個月(連審美牙醫學會的會員資格都還沒通過考核),但是因為生性執著,悟性奇高,是做美容牙科的好材料。我們藉著蘇湖醫師信手拈來的一個案例,順便介紹這個 esthetic checklist。
經過 root canal treatment,上了牙根柱,做上臨時假牙。
蘇湖醫師喜歡把臨時假牙做的很像,尤其當他念完 tof 部落格中有關表面結構的說明後,更加如火如荼。當完成印模步驟後,假牙在技師完成後放在比色驗證模上,我們可以看到技師很認真的複製了牙齒的顏色特徵:incisal stain


沒想到客戶要求不要有 stain (台灣的客戶很少能接受牙齒擬真的感覺,通常要求做的像新品一樣),於是透過 Evernote,蘇湖醫師寫了一份電子技工單給技師如下(Evernote 版連結較慢,請耐心稍等,若要了解怎麼利用 Evernote 來做電子技工單,請參考 這篇):
邱XX的電子技工單_Evernote 版
邱XX的電子技工單_PDF 版
根據蘇湖醫師的說明,技師更改完成後的 final crown:
蘇湖醫師說:「像我這樣的 crown 可以得幾分呢?」
tof:「要不要試試看我的 esthetic evaluation checklist?!」
有興趣的格友,可以按以下連結,下載這個 dental esthetic evaluation checklist 檔案。
Dental Esthetic Evaluation Checklist
基本上,這個表把 esthetics in anterior teeth 分成 40%來自牙齦的 pink esthetic,60%來自牙齒的 white esthetic。
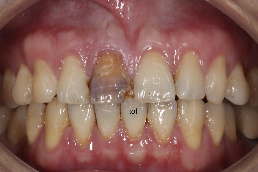
以這個案例來評分 前牙美學 的分數好了:
牙齦健康:我們可以看到,相較其他牙齒,雖然 #11 的牙齦沒有發炎的特別嚴重,但看起來也不是完全健康,所以8分內只得4分。
齒頸部牙齦顏色:這是最常被看出是不是假牙的部份,跟#21比起來,#11 的確在 free gingiva margin 的部份顯得比較黯淡,所以8分內只得4分。
齒間乳突:以這個案例來說,齒間乳突大致上都還在,所以單項部分得到滿分8分。有人會說,那如果這顆牙齒間乳突很完整,其他部分有 black triangle 怎麼評分?答案是還是一樣評分,因為我們評估的是整體的感覺,如果其他部分有 black triangle,這個照片的美觀還是會不好。
牙齦線分布:完美的牙齦線希望是由單側由犬齒到中門齒,希望是 high low high,以這個 case 來說,並沒有達到理想,就算醫師建議客戶做,客戶也不會做,所以會被扣分,4分只得到2分。
牙齦 zenith 及對稱性:gingival zenith 就是單顆牙牙齦的最高點,通常是在中線偏 distal,以這個案例來說,大致符合,可以得到4分中的4分。
口腔衛生:口腔衛生,病人有責任,牙醫師也有責任,以這個案例來說,在鄰近牙面上,還是有 plaque,所以6分中只得3分。
牙齒型態:這個案例成功的複製了 #21 整個外型形狀,模仿的維妙維肖,所以得滿分8分。
牙齒尺寸/比例:牙齒寬/長比應該是大約0.8,所以這個案例大致符合,8分得8分。
牙齒長軸:牙齒長軸自犬齒到中門齒,是越來越垂直,這個案例大致符合,8分得8分。
牙齒臨接點位置/切端角:請參考 Pascal Magne 所著 Bonded Porcelain Restorations 這本書第 64頁,及 Mauro Fradeani 所著 Esthetic Rehabilitation in Fixed Prosthodontics, Volume 1, P. 188-189。以這個案例來說,還算符合 contact 越 distal 越 apical,所以4分得4分。
有關牙齒顏色的 value, chroma, hue, translucency:這四項,因為蘇湖醫師及技師都有研讀 tof 部落格的各篇文章,所以都是滿分,總共得到 20分。
牙齒表面結構:當然是滿分,6分。這位技師注重細節,一級棒。
切端線型態:理想中的 high low high,嗯,沒有做出來,病人也不會願意做,好吧,0分。
牙齒排列對稱性:ok,是對稱的,尤其是中門齒,對稱很重要,4分得4分。
所以蘇湖醫師的這個案例,雖然是單顆牙,但也拿到了總分 79分,尤其單顆牙,客戶來本來就是只要做那顆牙,醫師能夠做的不多,也不會聽你說要改其他牙牙齦高度等等的,所以能到 80 分就很 ok了,除非病人本來的牙齒就很美….. 各位看倌,可以拿你自己的案例來看看哦!
再一次強調,對於美,每人心中都有一把尺,這個 esthetic evaluation checklist 是 tof 的那把稍微客觀的尺,各位可以依自己的標準更改分數的比重,甚至加新的項目也很好,也歡迎把更改的部份告訴 tof,讓 tof 可以把更好的評估表分享給普羅大眾,大家加油吧!
假牙科醫師:沒沒無聞蘇湖醫師
假牙製作:創藝牙體技術所施財烈技師
關於 前牙美學 評分標準你不知道的事
(本篇完)

No responses yet