
To read English version of this post, please click here.
前牙單顆植牙,應該是美容牙醫中,最具挑戰性的一項技術了。而要做好前牙單顆植牙的條件有三要件:
第一要件就是:找一位好的牙周植牙醫師當夥伴;
第二要件是:一個好的牙周植牙醫師願意當你的夥伴;
第三要件是:一個好的牙周植牙醫師已經成為你的夥伴……
聽起來像是跟房地產的說詞很像,可是這卻是千真萬確的事實,如果你讀過這篇就會知道 tof 說的是什麼意思,所以以下一系列文章 tof 要用幾個案例來表揚我的合作夥伴:牙周植牙醫師 Johnny 張……
在牙齒#11 的位置是一個歷史悠久的單顆活動假牙,而且有趣的是客戶有嚴重的磨牙,磨到他自己睡覺會被吵起來,看門牙切端的形態就知道。好吧,看到這種齒槽脊,這種案例,報著一絲希望,轉給 Dr. Johnny 張 看看吧,本來預期做幫他做三顆的牙橋也 ok 啦,何必讓自己睡不著覺?
沒想到 Johnny 張選擇了 GBR 重建技術。
「根據 1983 年 Seibert 的分類,這個案例只有 horizontal bone loss,沒有 vertical bone loss,雖然水平骨喪失較多,但還不是太困難的案例。」Dr. 張說。
「可是是正中門齒,而且骨缺損已經十幾年了?!」tof 說。
尤其是,如果有問題,就算垂直高度夠,水平部分骨頭沒有補出來,#11 的牙齒也會看起來比 #21 長,到時候病人罵起來,通常不會罵植牙的醫師,當然是罵做假牙的醫師,tof 上有高堂、下有幼子,如果把好不容易建立起來的名聲毀於一旦,不但牽連一家受累,而且怎麼面對我成千上萬的粉絲?
「交給我吧!」Johnny 張說。
於是 tof 只好硬著頭皮幫patient 準備臨時用 Maryland bridge,並裝置上去。



因為在 rest position 時客戶的牙齒露出的樣子如下圖:
學富五車的 tof 立刻想到 1978 年 Vig 的 study,Vig. 大師說,成年男性在 rest position 時牙齒要露出 2mm ,熟讀萬倦書的 tof 於是試圖把中門齒的長度加長 1mm ,讓 tooth display 多一點,牙齒也才不會看起來方方的。
沒想到這樣的「學富五車」,竟然讓 tof 在臨時假牙吃足了苦頭,patient 有嚴重的磨牙,又拒絕戴咬合板(晚上會睡不著),於是這臨時假牙沒有破10次也有掉8次,真是苦不堪言,最後還是妥協修回到原來的長度,esthetic 是敵不過 function 的,don’t fight against the mother nature。(未來 tof 會專文介紹磨牙的威力,請大家拭目以待。)
然後 patient 就被轉到牙周植牙科去了。tof 診所的牙周植牙科戒備森嚴,一般非牙周病科人員不得靠近,保密防諜的功夫到家。tof 為了廣大的讀者,在九個月中,好不容易請狗仔隊陸續駭出以下片段照片:



真實的情況如何,以本診所牙周植牙科的官方說法是:「事屬機密,無可奉告,除非你的文章能夠累積100個『讚』,才能由 Johnny 張 醫師專文公布這其中的機密技術」。
一聽到這,tof 心想完了,Johnny 張醫師又不是不知道,tof 的部落格因地處偏僻,訪客稀少,要累積100個『讚』談何容易?tof 想偷學植牙技術的希望不就落空了嗎?
不管如何,九個月後,客戶回到 tof 的手中,裝好了 screw retained 的臨時假牙的樣子:
(注意到了沒,對照下圖和下下圖中#12 的近心也利用補綴(operative dentistry)的方式,重新分配了空間)
事情到此,tof 不禁暗自驚喜:「Dr. Johnny 張 果然厲害」。因為針對前牙的植牙,最擔心的就是因為牙齦的不齊平而影響到美觀。其中的 rule #1 就是:只要植牙完成後的臨時假牙的 labial gingival margin 比旁邊牙低(more coronal), 就妥當了。所以 tof 已經養成了習慣,希望牙周植牙醫師可以回來時寧願牙齦太多,也不要少。
既然手術部分已經完美達成了,當然假牙醫師不可以犯錯。於是 tof 開始利用加減臨時假牙 emergence profile 的樹脂厚度,來把 #11的牙齦高度調到跟 #21 的一樣齊。兩週後:
美學大師 tof 對品質很要求,認為還不夠齊,於是又再加了一點樹脂,剛放下去的樣子(可見 #11 牙齦泛白的樣子):
四週後:
有趣的是,the mother nature 不僅在塑造牙齦,也利用客戶晚上會磨牙(bruxism)的機會每天在臨時假牙上雕琢出 tof 未來所要給客戶的門牙切端型態,不信的話,上下對照看看 patient 原來已經磨了十幾年的牙齒切端型態(下圖),和上圖臨時假牙的切端,是不是一模一樣?
再來就簡單多了,利用臨時假牙的 emergence profile 來印模。
技師完成後送回,放在比色驗證模上驗證顏色。
由下圖看,比色驗證模的ΔE只差0.6,非常的準確(比色驗證的功用就是讓技師有機會一次把顏色燒對,有關比色驗證原理、方法,請看這篇。現在比色驗證已經是 tof 診所的標準流程了)。
按照臨時假牙的長度來調整正式假牙的長度:

完成圖及側方運動時的 occlusal design:


這個案例,能順利的完成,要感謝兩個人,一是 Dr. Johnny 張,一是大自然(the mother nature):


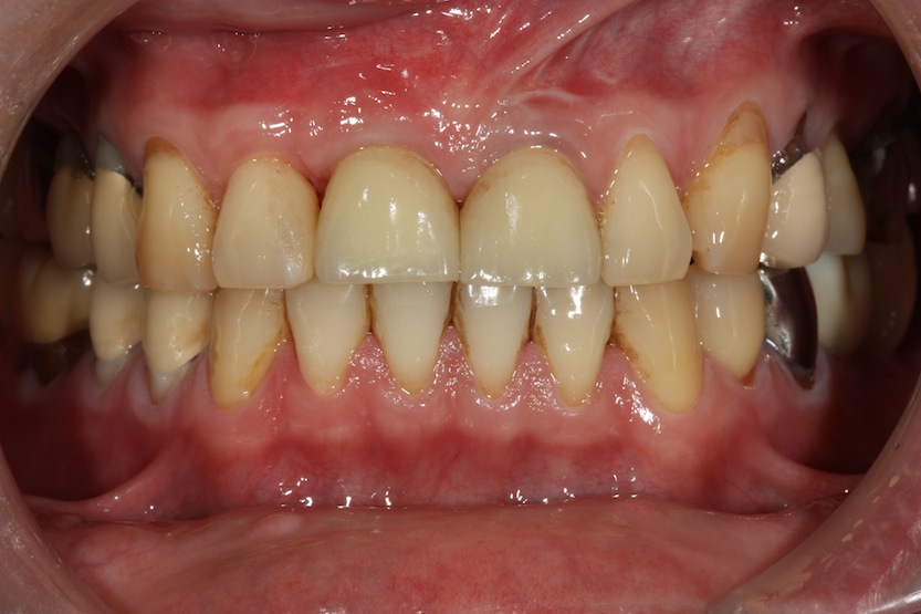
下圖:術後三個月回診照片,可見 cenral incisor 的 inter-dental papilla 已經長回來了。

Johnny 張把喪失的齒槽骨脊還給了 patient,而 the mother nature 塑造回了 patient 的牙齦及門牙切端型態。那 tof 呢?
哈哈,tof 把它記錄下來,供大家瞻仰………
假牙科醫師:Dr. tof
牙周植牙科醫師:Dr. Johnny 張
假牙及比色驗證模製作:台中創藝牙體技工所施財烈技師
假牙材質:Cercon ht all-ceramic crown and zirconia abutment
假牙專科助理:smallpen
<本篇完>





2 Responses
ideal position ! CEJ 的dark zone 似乎比較不明顯了.請問:crown coping 切端設計為波浪狀,是否是為了讓porcelain 有均勻的sturcture support ?
因為這是 cercon ht 的內冠,外面再覆瓷。看這個 coping 的形狀,應該是先 full contour waxup 後再 cutback,我想技師可能在設計 coping 的階段就考量 mamelon 的形態了。