
如果要看本篇的中文版,請按這裡。
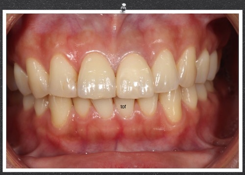
As a Prosthodontist, I naturally have higher expectations on my own finished works. As shown in the photo above, tooth #21 is a temporary crown, and if you’re the fans of tof, you can immediately identify this and speak out loud: “Wow, it’s such an amazing work, and it’s no doubt like the real ones!”. Meanwhile, some would think: “Not again, this is possibly another flashy article! After one hundred times of practices for trying, it just comes out right once, and here is it for the show!”
Eh, two ways of sayings are both right and wrong. The right part about the above photo is, #21 is indeed a neat temporary crown, but for the wrong part, ha-ha, this is not made by tof. In fact, there is too much bitterness as well as things out of my control, and please just hear me out for what I’m going to reveal in the followings.
Firstly, everyone takes a look at the crowns below, and would you say that they are alike?


No matter how you look at them by their forms, lightness, or hues, they do look like real teeth, but only with a slight off somewhere, while you could not make it out just exactly what’s wrong with them. Could anyone tell what is wrong here?
The reason is that there is something wrong in the surface texture of teeth, and by taking a look on the reflection of flash light on the tooth surface; one can tell the difference right away. That’s right, just by looking at the reflection of flash light on the tooth surface, one can identify the surface texture, and this is quite interesting itself. In the past, it is said that one can only see surface texture after putting gold powders on the teeth. Moreover, this is the first time I hear about reflection of flash light is with the same function, can this be possible?
Allright, let’s take a look for the photo below, and can you make out the surface texture of the teeth?
This is a photo without reflection by application of depolarizer on camera lens, and could you tell if the surface texture is rough or smooth? Supposedly, if we take the depolarizer away, the photo should actually look like the one below:
So, probably we can prove that if there is no reflection, there is no way to get to know about the surface texture of teeth. So, then what’s so important about the surface texture of the teeth? En, here again we should return our focus back to the first photo of this article.
This case is actually made by Master P., who is an expert on the aesthetics of anterior teeth, and the initial letter of this master’s name is P. What’s the full name of the master? In fact, everyone should actually be very familiar with him, here the P=Photoshop, got it? Let’s take a look how the Master P. fix the #21 temporary crown:
- Firstly, it removed the reflection of flash light which make the crown look not like the real one,
- Then, put on the reflection of flash light we would like to add (mostly borrowed from tooth #11.)
- Finally, the temporal crown becomes pretty alike the real one.



So, get the point? The Master P. has not done anything but only a change in the reflection of flash light for the tooth surface, and a perfect crown is made out right away. This can prove that how important the tooth surface texture is on the simulation of a crown to a natural tooth! In fact, by several cases presented in the article, one can know that even though all other factors are all done correctly, as long as there is something wrong with the surface texture, the crown will be a failure as a replica of the natural one.
Alright, if we all understand this concept, how are we going to apply it in our clinical works every day? Firstly, we can use it to manipulate a little bit. Supposedly, if tof made a crown as shown in the photo below, and after examination, it is found that the surface texture was not right; unfortunately, we should say that this was a failure.
Alright, I’m going to make a change on the angle of photo shooting, and the case is saved:
Let’s put both two photos side by side for a closer look:
Nothing is altered but a change in the angle of photo shooting, and this actually makes the crown seem to be like the real adjacent tooth, only with the application of the technique which makes a change on the reflection of the flash light
Of course, this is not our main point, and the emphasis is that we can see the characteristics on the teeth surface texture by applying the reflection of flash light, with verification on the color comparison. For example, if we would like to make a tooth like the one in below photo (tooth #12), and there are lots of horizontal lines (perikymata) on its surface:
However, the crown sent out from the technician is actually like the one shown below:
Then, this crown is indeed to be rejected and sent back to the technician for a remake, and due to that I know if I return it for an alteration by the technician, the tragedy in the picture below can be actually avoided. (Let’s take a look on the mesial marginal ridge on both tooth #12 and #22, we can see due there is a very big error on the surface structure, to lead the crown not to look natural):
Dentist A, who has his/her own practice, said:”What’s so important about the surface texture? I have already made crowns for over thirty years and I have done the job quite well without ever paying any attention to the flash light effect at all. What so ever, and anyhow, see how I’ve done them well!”
tof has to admit that this is also right! For all these, they are only required by the picky prosthodontists, especially for the ones who have the habit of photo shooting to collect cases. Otherwise there is seldom any patient who is able to tell about the surface texture. Moreover, let’s take a look on the next photo below:
You can’t tell the differences, right? The teeth #21 is actually one of the three photos with wrong surface texture presented previously in the article!! Please go back and take a closer look!
Today, tof has presented one of the three essentials in making the crowns look real (regarding tooth shade), the “Surface Texture”. Making illustration on how to identify surface structure, and as to the other two major essentials: “color characteristics” and “shade data”. I’m going to make introduction of them by next time around, but a bit later upon my schedule and arrangement.
Editor: ”Doctor tof, how come would you not to make more introduction on the dental implant, which is the most popular fad nowadays. That’s why your blog is not popular!”
tof: ”Don’t say another word about this, or I’m going to stop writing all together!”
Editor: ”……………”

One response
I know this website presents quality based posts and extra stuff, is there any other web page which provides these stuff in quality?