我是一個事業有成的齒科技師,也在台北擁有一家規模不小的技工所,所內的瓷技師就有4、5個,當然也包括我在內。在我看似完美的職業生涯中,其實也有一點小小的缺憾,那就是前牙單顆瓷牙的齒色,常讓我捉摸不定,所以有些遠程的 case 我不敢放心的接。 原因是,各位知道,偶爾會有醫師因為齒色不正確的原因而 repeat 我的case,如果幾次還不能達到要求,到最後無奈只好請客戶到我的技工所來比色(為此,我還耗資數十萬裝修了一間比色室,好讓客戶來不會看到亂亂的感覺)。有時候我也得親自出馬去診所幫客戶比色(不好意思,以我的身價,小診所我可是不會親自出馬的)。
這樣下來,當然很浪費時間。這正是我不能隨心所欲接外縣市 case 的原因,因為萬一真的要比色,實在不太可能。不能親自比色,有些case就會來來去去好幾次還搞不定,逼的我真想退錢給醫師,請醫師高抬貴手,麥擱 repeat 啦。
二來,對顏色方面,我非常要求,常常指導跟著我的那幾個瓷技師,尤其如果醫師有寄照片,我會以我豐富的經驗傳授他們,告訴他們看這照片的顏色,要怎樣堆築及設計瓷厚度的內容,可惜的是,大部分時間他們的進步緩慢,原因是今天我傾畢生的功力燒了一個完美的瓷牙,我所得到的結果只有幾天後「它過關了」或是「它被退回來了」,如果這個瓷牙過關了,我會完全不知道我當天設計顏色的想法及使用的技法的成果是什麼(因為已經被客戶帶回去了),所以很難從中快速累積經驗,除非我的醫師有幫我照臨床照片,要不然就是我要風塵樸樸的親自去照相才會知道結果,這幾乎是有心要學好燒瓷的技師所共有的困擾。
第三,每次顏色不對回來,醫師就說是我們的問題,其實很多根本就是醫師比來的顏色或是照片就有問題,燒出來當然不對,如果可以有一個方法,讓我們確認顏色錯誤的責任歸屬,那我會覺得公平的多,畢竟大家都是為了客戶好嘛!!
(編按:大技師,你怎麼這久還沒切入正題啊?字那麼多都沒有圖,讀者怎麼看的下去啊?有圖有真相嘛!!這樣讀者要換到購物網了啦)
好啦!好啦! tof 醫師,你怎麼那囉嗦,不然我不寫了呦。
話說有一天,我到墾丁去曬太陽,結果旁邊躺了一個矮矮肥肥胖胖、半禿頭的中年男子(編按:此部份不符事實),結果一聊之下,它自稱是 tof 牙醫師,在屏東開業,我想想,在屏東?那是做不成生意了。
我們聊到瓷牙顏色及比色的問題,tof 醫師教了我用比色機驗證顏色的方法,我一聽,立即心動,飛車回台北,立刻跟登士派訂了一台 Shadepilot,開始使用這個方法來驗證我的瓷牙前牙作品。
比色驗證模,改變了我的工作流程,我用一個案例來說明,比如說,我接到那個挑剔的 tof 醫師的這個 case:
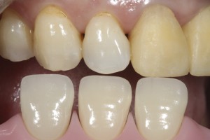
我選擇用 #12 及 #22的顏色來複製兩顆正中門齒,這是我做的第一套瓷牙
用比色機取比色驗證模上的顏色:
然後和 tof 醫師給我的 #12 的顏色做顏色的驗證
由數據上可以知道,現在的這組 Lava crown value 太亮了些,顏色要再多一點紅,降一點黃(但事實上差別不大),我也注意到牙根的黃色我並沒有複製出來
所以在模還沒送出去前,做了一些修改:
看,這樣是不是好多了呢?牙根的顏色我也模仿出來了。 除了顏色的 ΔE外,比色驗證模還可以幫我們看出一些其它造成顏色不像的原因,例如: 切端透明區域瓷堆築的設計錯誤:#11 mammelon 是不規則的,#21則是整片的。還有,造成切端透明區 halo effect的橙色光圈,下圖左右也能明顯看出差異,讓我有機會在送出前做更改;
再如: 下圖#11 的切端透明區配置就和對照牙完全不同
總之,比色驗證模對我技工所的影響是深遠的,現在,我可以接遠在屏東那個胖胖身材高挑 tof 醫師的模,不再擔心還要親自去比色的問題。
另外,每一個我手下瓷技師所完成的前牙瓷牙,他們可以立刻比色驗證了解他們心中設定的堆瓷技法做出來的效果是否和看照片的詮釋相同,並且可以據之調整,由此而來,他們累積瓷築盛技巧經驗的速度變快了。
當然,顏色錯誤的責任歸屬也較可以釐清,我可以說,只要醫師給我正確的比色機照片及臨床照片,我就可以做出相當靠近的顏色,也就是 ΔE 小於2的顏色。如果顏色不和,那是我出錯的機率很小,是 tof 醫師錯誤的機率較大,誰叫他也常常出錯?
如此觀之,比色驗證對技師的助益實在不可謂之不大!(本篇完)
編按:以上故事情結,純屬虛構以利劇情發展,若有雷同,必為巧合。
編按:文中若干不符實情的文字,電腦自動劃橫線刪除並以較符合事實的文字替代。
瓷技師:新竹志冠齒研王仁志
















4 Responses
可以請問技工所的連絡電話嗎?謝謝
志冠技工所的電話是:03-5343952 王仁志技師
謝謝
感謝tof醫師的文章分享
獲益良多
沒想到瓷牙也能做得這麼漂亮!