前牙瓷牙顏色的複製,是前牙美學中,醫師較難掌握的一部分,尤其是單顆前牙,更是常常讓醫師被客戶退貨重來(想想那些多金的明星,藝人及上市公司的董事長),這些 repeat,讓人舟車勞頓,最後不得已,通常是請技師出馬親自來看顏色,或是讓客戶去技工所比色。除此之外,似乎只有降低自己的標準,讓 case 就這樣過去吧…. 難道沒有辦法讓顏色一次到位?讓客戶對你敬佩有加?四處幫你介紹她的明星朋友? 為此, tof 嘔心瀝血,翻遍史籍,歷經數十載寒暑日,開發了一個比色工作流程,把這個問題解決。
首先,我們要先拆解整個瓷牙顏色複製的流程如下:
- 診所記錄及傳遞顏色
- 技師比對及分析顏色
- 技師燒瓷及複製顏色
- 技師驗證及修改顏色
- 診所品管顏色
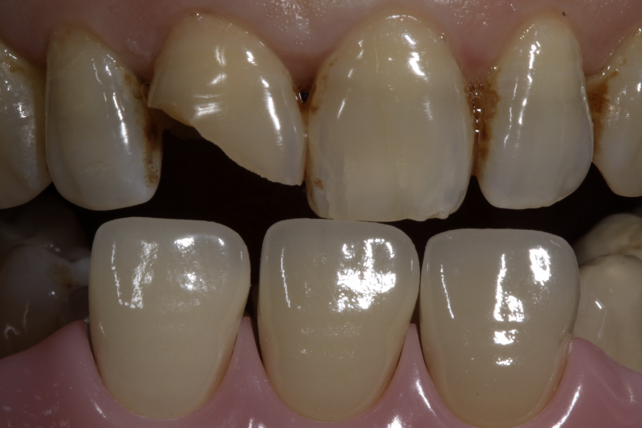
針對診所記錄及傳遞顏色, tof 已經在 這篇 介紹過,請各位醫師大德過目一下。至於技師比對及分析顏色、燒瓷及複製顏色是傳統的瓷牙複製流程,淺顯易懂,我想大家都應該了解。tof 用一個例子來為大家說明吧: 這個案例因為#11斷裂
於是 tof 先製作臨時假牙:
然後記錄並傳遞驗色給技師:
技師依照他看了比色相片後的詮釋,燒出了瓷牙(注意,這是一顆有 porcelain margin 的 PFM)
好吧,下一步呢? 傳統的方法就是送回診所等待試戴,然後根據試戴後的結果送回修正,一個好的技師,可以在每一次的試戴中,將顏色越來越逼近,如果功力差一點的技師,可能客戶就要跟著他,一再的改顏色,勞民傷財。 這個 case ,tof選了一條不一樣的路。在灌完做 die 的 master cast 後,tof 請技師用同樣的 impression,做了以下這個模,tof稱之為比色驗證模 (shade verification cast, SVC)
如圖所示,比色驗證模(SVC)是由很簡單的材料,用很簡單的作法做出來的。技師把新完成的瓷牙,放在比色驗證模上,用 Shadepilot 比色機比色如下,
利用這張比色圖片,對照之前 tof 寄給技師的比色圖片
以上的右圖,是原來客戶的#21(由 tof 可愛的助理在印模前用比色機記錄下來的顏色),利用 Shadepilot 內附的軟體水平翻轉後來和 #11對照顏色。 其中的ΔE(顏色差值),簡單的說就是兩個顏色間的差距,通常只要ΔE小於2,顏色的差距就是在可接受範圍內,以這個 case 來說,技師驗證到顏色差值小於2(本 case 為0.5),再把 crown 寄回來。 我們來看看和臨牙 ΔE 0.5 的樣子: 還不賴吧?! 再來一個 case,這是術前:
我們來看看技師驗證的成果:
再看 ΔE 2.4時,送回來,臨床的結果:
看起來,只要技師能使用比色驗證模把顏色色差控制在 ΔE ≦ 2,應該能夠一次到位,讓客戶不必因為顏色不對而重來好幾次。好吧,如果各位覺得這個技法好得太簡單,不太可能,那讓我們來看看 tof 診所內一位美女醫師利用比色驗證模做出來的成果: 術前照片:
技師比色驗證後的色差:
臨床結果:
還ok吧?這種 case 通常不會被客戶打槍,對醫師來說,實在是省時又省力,又賺得客戶的信賴。 tof 深深相信,比色機在未來一定會成為診所的標準配備,對醫師來說,比色不是重點,能夠在客戶來裝牙齒之前用比色驗證模 (SVC) 驗證瓷牙顏色,確認無誤再讓客戶來 tryin,絕對是每個對前牙美學有興趣醫師的必備技能。
以上瓷牙製作:新竹志冠齒研王仁志技師 以上臨床照片,均有 這篇 所述的所有權記號,請各位尊重著作權,嚴禁翻印及盜拷,否則絕對追究到底。


















No responses yet