tof 是一位開業醫,像大部分的開業醫一樣,每一個客戶的時間都有限,還要不時應付未約診客戶,所以許多醫師都告訴客戶說:臨時假牙只用幾天而已啦,新的假牙來就好了(其實 tof 有時也這樣告訴客人啦,開業醫實在有開業醫的苦衷)。
事實上,不論是單顆膺復或是全口重建,臨時假牙都肩負了無比的任務,其中最重要的一項任務,就是讓客戶 preview 我們要給他的東西會是大概怎麼樣。 話說有一天有一個客戶叫林稚齡(因保護當事人,聲音已經變調處理,如有雷同,必不屬實)走進 tof 的診間,告訴 tof 她的 #11 撞到了,需要做假牙。
這時候 tof 望著這位淚眼汪汪的大美女,實在是有說不出憐惜,真想使出全部的功力來幫她復原這顆牙。
稚齡姊姊說:「我再過兩天就要登台了,你可以幫我把假牙做成原來的樣子嗎?」
我聽了下一跳,心想兩天?哪有可能?
我說:「兩天時間實在不夠,我先給你臨時假牙可以嗎?臨時假牙只是暫時用的,它長得就像這個樣子(如下圖)。」
「可以嗎?」沒想到稚齡姊姊也是練過的,她一看勃然大怒說:「你是開我玩笑嗎?這個臨時假牙顏色也不對,value 也太高,你叫我如何見人!」tof 只好苦著臉,召集我的 ITR 團隊(interdiscipline teamwork restoration),用迅速確實的方法,做了根管治療,上了牙根柱,然後給了她一顆這樣的臨時假牙。
稚齡姊姊總算滿意的回去等待她的正式假牙。當然也順利的上了台,大家都不知道這是顆臨時假牙呢。 沒幾天後,來了一位稚齡姊姊介紹的客戶,tof 一看,乖乖隆個冬,這不是官之林嗎?
「醫師,我需要你的幫忙」之林姊姊傷心的說。「我必須要去走奧斯卡的紅地毯,可是我這樣,能見人嗎?」
我聽了直冒汗,怎麼都是這麼硬的 case?
「你不會是兩天後要上飛機吧?」tof 汗流浹背的問。「醫生,你怎麼知道?」之林答道。「好了,不用說了」tof 阻止她再說下去。 於是 tof 再度召集 ITR 小組,兩天後給了之林姊姊這個臨時假牙。
又過了幾天,tof 的助理拿著電話筒說:「有一位自稱是稚齡姊姊介紹的,叫做什麼章會妹的說要掛號呢!」「跟他說醫師退休了!」tof 躲在治療台的旁邊顫抖的說…..
誰說臨時假牙不重要呢?
(以上人名,純屬虛構,若有雷同,純屬巧合)(以上臨時假牙製作:志冠齒研@新竹)
(本篇完)






39 Responses
鍾醫師,我是歐問的學員,請問您臨時假牙是用什麼材料,可以做的如此和鄰牙的顏色相近呀!
是用 Vita vm cc 這套:
http://www.dt-shop.com/fileadmin/media/ga/0640_ga_enu.pdf
之前請貿易商進的,但是我想任何顏色多一點的樹脂粉應該都可以,
很讚
請問前排五顆臨時假牙可以用嗎? 目前植牙中
可以做呀,只是要先看看您口腔內的狀況,是否有鄰近支撐牙來支撐。
請問弄臨時假牙上飛機有機會脱落嗎?
只要黏著力夠,應該不會哦!
請問製作鈦合金牙套需多久時間?我非常非常趕…
12/1回國,12/15又出國了
不知道多久後才能再回國
希望這次回去可以處理好
嗨,要先看你的牙冠內根管治療有沒有完整,通常要三個星期!
因為手術插管造成之前做的打釘子的門牙歪了!要敲起來也拿不下來!有沒有辦法矯正回來嗎?
珠珠:
可以試試找根管治療專科醫師用顯微鏡技術幫忙拆除,只是怕如果就的牙根柱黏著位置太深入根管,就真的有可能拆不下來了。
我媽媽下邊牙齒 只剩右邊三顆 原來配有活動式假牙 但六月時發現左下牙齦內有一囊腫 於是醫生幫他裝上一個鈕扣引流 影響面積約達三顆牙齒 (位置約與僅存的三顆牙成對稱)。 因為重建要很久
所以我想請問
用原先假牙修改的可能性有多高? 能否把假牙會覆蓋在鈕扣的位置挖空 讓他在治療過程 能夠咀嚼
或著製作臨時假牙可行嗎?
Hweijan Hsu:
你好,因為我沒有看過母親最近的活動假牙情況,所以沒辦法做太精確的評論,但是聽起來是有可能,因為活動假牙是有機會經過調整、修改,可以讓開空間給下方的引流管(但是要視引流裝置的大小)而讓活動假牙繼續使用,所以還是要先跟您母親的主治醫師討論可行度再進行,謝謝你的留言。
前區門牙要作植牙但需要空3~6個月時間醫生說作活動臨時假牙不傷植牙為主. 但臨時還是不方便而且要拿下來洗, 請問是否可以作固定式假牙, 如果非作活動的那是不是很醜
陳小姐:
有時候,必須使用活動臨時假牙,醫師會視你的情況去決定。有時候也可以做固定的臨時假牙,例如馬利蘭牙橋的臨時假牙,所以可以跟你的醫師討論一下,看你適合那一種,當然,最後還是要以醫師的臨床診斷為主!
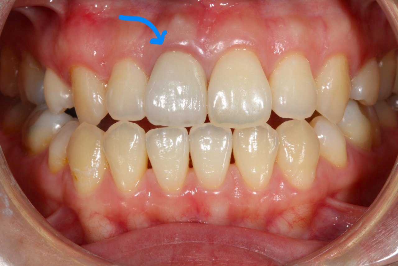
醫師您好,我有牙齦萎縮問題,就有點像是您這篇文章中,從上面數來第三張照片(有個藍色箭頭的那張),我的下排牙齦萎縮的狀況跟照片中的雷同,雖比照片輕微,但也看得出有黑洞。我的牙醫說我沒有牙周病問題,所以萎縮應該不是生病因素,那可能是老化或是刷牙太用力等因素。我想問的是,如果牙齦一直萎縮,除了刷牙方式改善,有什麼方式可以讓它恢復到原始狀態,或是有任何美容手術等等??我才近四十,我想盡量維持美麗,謝謝。
Yvonne,你好:
牙齦萎縮有時候是一個正常的現象,既然你的牙醫師說沒有問題,那就不需要太擔心。至於萎縮的牙齦要恢復到原來的狀況,現在有一些牙齦手術可以做到,但並不是很穩定,有可能花了很多精神做的手術,過一陣子又開始萎縮,有點事半功倍。因此如果位置是在美觀區,可以考慮諮詢醫師這類的手術,如果是在說話及笑都看不到的區域,那就不需要處理,這是我的建議,你覺得呢?
請問臨時假牙(中間一顆已拔掉,所以先做三顆假牙包覆)可以戴多久?最近手頭有點緊,一直不敢再約時間去打模,而且我覺得假牙有點收費貴了,很煩,怎麼辦?
洪小姐:
臨時假牙有時候我們會讓客戶使用超過幾個月,有些矯正的客戶會用到一年以上,但是需要每兩到三個月回診讓醫師檢查一下,因為材質的關係,臨時假牙很容易鬆脫且造成二度蛀牙,反而得不償失了!所以請洪小姐要先你的醫師討論這個問題,或是請醫師幫你選擇不同的黏著材,並且定期檢查,儘快換成正式假牙。
請問醫生,因為我4月5號前就要出國且會在國外待相當長的時間,但3/4的時候因為蛀牙左側小臼齒拔除,但因為即將出國就讓它懸空在那,後來覺得不是很舒服但做正式假牙的時間也不夠,不知道這樣的情況是否適用臨時假牙?
朱小姐:
那要視你所治療的選項是什麼而定,然後也要看做臨時假牙的用意是為了美觀還是功能。如果未來是做牙橋,那就可以先製作臨時假牙(而且還蠻快的,缺點是牙橋會犧牲兩邊的牙齒),如果是未來要植牙,臨時假牙是為了美觀,可以考慮做馬利蘭牙橋或時臨時植體之類的,可以跟你的醫師討論一下哦。不過還是要以你的醫師的意見為主,畢竟鍾醫師只是「紙上辦案」,做不得準的。
請問醫師是否有要植牙才能做暫時假牙?
可以順便如果上排牙齒整排的話費用大概多少呢?
陳先生:
不一定要植牙才能做暫時假牙,自然牙的牙根也可以哦!暫時假牙就是一種過渡性的假牙,是用來評估未來你的正式假牙製作的方式及方法,是非常重要的。
至於估價,鍾醫師可能就幫不上忙了,可能要麻煩陳先生給你的牙醫師評估看看,畢竟要有一些資料才可以評估。
請問醫生,我只剩下左後2顆牙,右後1顆牙,請問這樣能作暫時假牙嗎?
王小姐:
可能要麻煩你到鄰近的牙醫診所讓醫師幫你診斷一下,如果剩下的牙齒太少,可以做臨時的活動假牙,也是一個過渡期不錯的選項!
請問醫生,因為我上顎纖維骨化不全整個變大到需要整個割掉重建或是割到只剩左邊1-3顆牙齒的程度,是不是沒有辦法先做整排的臨時假牙呢?只能等固定的完成侯後才可以?
Irene 你好:
因為「上顎纖維骨化不全整個變大到需要整個割掉重建」這樣的情況並不是我的專長,但是聽起來應該至少可以先做「活動臨時假牙」,請你跟你的主治醫師討論(你的主治醫師是不是口腔外科醫師呢?)必要時主治醫師會跟「膺復牙科醫師」討論你的治療計畫,抱歉不能給你完整的答案。
請問如果上排牙齒已經掉的差不多了,想要做活動假牙、這樣是不是還可以裝臨時活動假牙,因為突然牙齒都掉了說話吃東西真的很不方便
小小你好:
通常的情況下都可以安裝臨時假牙,所以你趕快安心的去找你的牙醫師幫你評估吧!
請問鍾醫師,因人目前在國外,臨時牙套鬆一陣子,保持著清潔,今日竟臨時牙套旁掉了一片下來,主體還可附著在牙齒上。因為近期航運停駛,不知道何時可回台,不知道您有什麼建議或我需要知道的,如清洗需要把牙套拿下來再裝回去嗎?
非常感謝您的幫忙與回覆
Jamie: 如果是這樣,就建議臨時假牙在清潔的時候要拆下來,因為牙齒「悶」在臨時假牙內,很容易二度蛀牙(且速度很快)。當然最重要的是趕快找醫師幫你處理才是上策!另外這臨時假牙常常掉嗎?這臨時假牙預計要使用多久都會有影響哦!
鍾醫生:
這牙套感覺鬆好ㄧ陣子(應該有月為計),偶爾刷牙感覺快掉下來,平時附著牙齒主體,而昨天是以外在清潔,怕常拿下及套回去增加臨時牙套被破壞風險…現在隔離還要半個月以上,不知道有什麼建議及好方式保護牙齒❤️
醫師您好,請問側門牙如果植牙,過程中能裝假牙嗎(因為很不美觀)?而且不影響其他牙齒嗎?如果可以,方式是什麼?謝謝您的回覆!
Rebecca 你好:
在條件允許的情況下,可以植牙並且同時間放臨時假牙在剛植的植體上,條件就是:不使用哪顆植牙去吃東西(要避開那個區域)。
鍾醫師可以看出你的擔心,很怕牙齒植牙後留一個洞不美觀,沒辦法出門。
現在幾乎不會有這種情形,通常牙醫師會想辦法製作一顆臨時假牙(也可以使用活動的臨時假牙),反正如果你進診所是有牙齒的,出診所就會想辦法讓你有牙齒。
現在的社會,每個人都有社交的需求,美觀是非常重要的,即便正在植牙中,這件事,牙醫師們也都感同身受。
謝謝你的問題。
您好
請問:我的門牙兩三年前,裝過臨時假牙,醫生收我6000元。
我後來因工作忙錄,在架上經濟問題,一直沒去處理,就這樣帶了二三年的臨時假牙。
現在,另一顆門牙也掉了,現在疫情經濟更吃緊了,不知道可以在裝二顆臨時假牙,撐過這陣子經濟低潮,在處理嗎?
01門牙二顆可以做臨時假牙?
02可以使用二年嗎?
03臨時假牙費用大約多少?
04多久可以拿到臨時假牙?
謝謝
美麗的苦主:你好,聽你的敘述,鍾醫師有不祥的預感,一般來說臨時假牙能撐半年就很了不起了,臨時假牙損害之後,裡面的支蛀牙就開始蛀牙,然後就越來越崩壞,情況越來越複雜、越難處理。鍾醫師的建議是,請儘快跟你的牙醫師聯絡,看還有什麼辦法繼續處理,因為很有可能連臨時假牙都不能重做了(尤其如果對咬牙又長高,就更複雜了)。
臨時假牙就是臨時夾牙,不能夠當正式假牙使用,請儘快找你的醫師幫你評估下一步該如何處理比較好,切記切記,不要再拖了。
鍾醫師,午安吉祥~您好
我有一個牙齒問題已困擾多年了,今決心想來治療想請您看看
就是多年前因故做了上2門牙和下3門牙的假牙後
造成講話點接觸的不平衡(只有左邊側門牙一點的接觸其它都懸空)
嘴唇型也變成右高左低
1..因此講起話來不能很自然輕鬆順暢流利,也變得快又急躁,
表達反應能力也影響變差 ,因此脾氣也變得較暴烈,
且稍微講久點雙頰頸肩就酸麻不舒適
2..上下門牙咬合不到有縫隙,吃麵條嘶不斷講話時會漏風
請問:
上下門牙假牙就重新做過,讓上下門牙能頂得到咬合得到,且講話時能有平衡的點接觸,回復說話的自然輕鬆順暢流利,與表達能力。
還是這是需要矯正治療!
感謝您
張先生:
你好,由你的敘述,有點無法理解「上2門牙和下3門牙的假牙」是幾顆?是總共 5 顆還是 2 顆?做了多久?
由你的敘述,聽起來不太像是牙齒造成的,因為牙齒不太會影響唇型的高低或是說話的順暢與否(除非是全口重建,也就是全口牙齒都是人工做的)。
建議張先生可能還是要就近找你的牙醫師先檢查後討論,看到口內的情況再評估一下會比較準確,也許你的狀況從頭到尾都跟牙齒沒有關係也不一定。
鍾醫師,您好
曾回去找我的牙醫師已沒營業很久了
當時是做上排是2顆門牙和下排3顆門牙,合計5顆,約有20年了
那我的症狀應該是牙齒平衡問題!
能先預約門診請您看看嗎!